Пневмония продолжает поражать легкие амурчан
В Приамурье немного снизилась заболеваемость ОРВИ, но продолжает расти количество выявленных пневмоний.
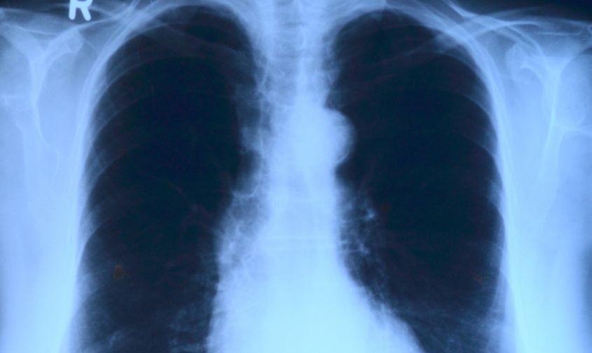
В Приамурье немного снизилась заболеваемость ОРВИ, но продолжает расти количество выявленных пневмоний. Об эпидемиологической обстановке в регионе за прошлую неделю рассказали в амурском управлении Роспотребнадзора.
На 40 неделе в Амурской области зарегистрировано 3 035 случаев ОРВИ, в том числе 1 329 случаев среди детей. Это на 7 % ниже уровня заболеваемости предыдущей недели.
Продолжается рост заболеваемости внебольничными пневмониями. На прошлой неделе зарегистрировано 288 случаев, в том числе 161 среди детей, что на 25 % выше уровня предыдущей недели.
Заболеваемость COVID-19 выросла на 5 %, на прошлой неделе заболели 40 человек.
На 40 неделе в Амурской области зарегистрировано 3 035 случаев ОРВИ, в том числе 1 329 случаев среди детей. Это на 7 % ниже уровня заболеваемости предыдущей недели.
Продолжается рост заболеваемости внебольничными пневмониями. На прошлой неделе зарегистрировано 288 случаев, в том числе 161 среди детей, что на 25 % выше уровня предыдущей недели.
Заболеваемость COVID-19 выросла на 5 %, на прошлой неделе заболели 40 человек.
Последние новости
Как продлить срок службы вашего сервопривода: советы от профессионалов
Техника тоже любит заботу — особенно точная и дорогая
Как оформить виртуальную кредитную карту быстро и без лишних хлопот
От выбора банка до настройки онлайн-платежей — разберитесь, как создать цифровую карту, защитить свои средства и эффективно управлять финансами в интернете.
Вопросы регионального значения рассмотрены в рамках первого в текущем году заседания Координационного совета при Управлении Минюста России по Амурской области
03 апреля 2025 года в Управлении Министерства юстиции Российской Федерации по Амурской области (далее – Управление) проведено плановое заседание Координационного совета при Управлении (далее – Координационный совет,
Когда скидки превращаются в ловушку: как маркетологи учат нас тратить
Почему “-50% только сегодня” не всегда значит выгоду, как скидки играют на эмоциях и почему даже рациональные люди становятся жертвами маркетинговых трюков.
Здесь вы найдете свежие и актуальные новости в Элисте, охватывающие все важные события в городе